Before & After

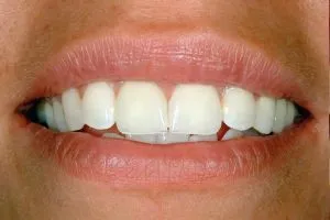
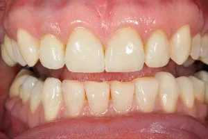
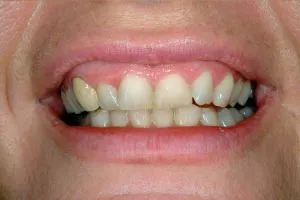
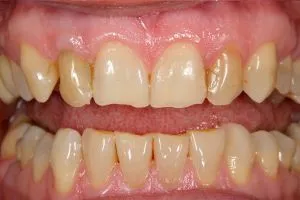
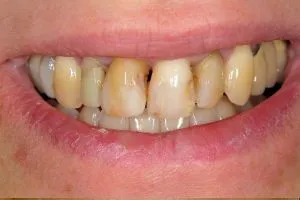
Would you like to see examples of the excellent dental care we provide at Crawfordsville Family Dentistry! We welcome you to browse our Before & After gallery to see the high-quality dental treatments provided by Dr. Frey, our skilled dentist in Crawfordsville, Indiana. To learn more, we invite you to call or visit our dental office today. We look forward to caring for your smile!


Contact Us Today!

We look forward to hearing from you.

Our Location

506 Corda Blvd | Crawfordsville, IN 47933

Office Hours

Monday:

8:00 AM-5:00 PM

Tuesday:

8:00 AM-5:00 PM

Wednesday:

Closed

Thursday:

8:00 AM-5:00 PM

Friday:

8:00 AM-2:00 pm

Saturday:

Closed

Sunday:

Closed